• Поиск:

издатель: ЮпокомИнфоМед

М.С. Следков

Безметалловые технологии в стоматологии

ЧУП «Зуботехническая лаборатория Михаила Следкова»

В стоматологии начало бурно развиваться направление безметалловых технологий. Около 20 лет назад в нашей стране появилась металлокерамика, она долгие годы входила в практику современного стоматолога и зубного техника. На сегодняшний день металлокерамику не делает только ленивый. Но требования к эстетике не стоят на месте. Пациенты уже хотят не «чтобы коронки были похожи на зубы», а «чтобы коронки нельзя было отличить от зубов» (рис. 1, 2).

Современные безметалловые технологии позволяют создать столь высокую эстетику, что, действительно, невозможно отличить протез от естественных зубов. Что же мешает внедрению столь прогрессивных технологий? Как ни странно, стоматологи и зубные техники. Точнее, их предубеждения. Заблуждения о безметалловых технологиях, как и в свое время о металлокерамике, препятствуют внедрению в жизнь. Прошло 15 лет, прежде чем металлокерамику в Беларуси начали использовать повсеместно. Какие же были предубеждения?

•     Металлокерамику нельзя делать на жевательные зубы.

•     Под металлокерамику нужно всегда депульпировать зубы.

•     Под металлокерамикой зубы быстро портятся.

•     Металлокерамика слишком тяжелая.

•     Металлокерамика портит антагонисты.

•     Металлокерамика ненадежна и скалывается.

•     Металлокерамику сложно делать.

•     Металлокерамика недоступна по цене пациентам.

Теперь, читая это, вы, наверняка, улыбаетесь? А 10–15 лет назад многие так считали. Причина заблуждений прежде всего в слабой информированности специалистов, вторая проблема – это консерватизм во взглядах.

Сегодня такая же ситуация, как с металлокерамикой 15 лет назад, существует с безметалловыми технологиями, и заблуждения те же. Можно добавить еще одно предубеждение: из безметалловой керамики нельзя делать мосты больше трех единиц, а можно только во фронтальном отделе зубного ряда. Попробуем разобраться, что же правда, а что вымысел.

На сегодняшний день безметалловые технологии достигли таких высот, что можно сказать с уверенностью: безметалловые конструкции могут практически полностью заменить металлокермику.

Безметалловая керамика – самый современный вид керамики в стоматологии ХХI века! Технология современной безметалловой керамики была разработана в 80-е годы прошлого столетия, но только сейчас благодаря длительным разработкам и испытаниям эта технология приобрела законченный вид.

Стремление пациентов получить в результате протезирования не коронки, похожие на зубы, а зубы, не отличимые от своих собственных, побудило стоматологов обратиться к технологиям безметалловой керамики. Благодаря открытиям в области химии проявились материалы, идеально связывающие в единое целое керамические реставрации и ткани натурального зуба. Все вместе дало толчок огромному спросу на безметалловую керамику.

Что же собой представляет эта керамика и когда ее применяют?

Прежде всего безметалловую керамику характеризует высокая эстетика и высокая прочность (рис. 3, 4). Из безметалловой керамики изготавливают ламинаты, вкладки, коронки, адгезивные и традиционные мостовидные протезы, полукоронки, штифтовые вкладки и коронки (рис. 5). Что для чего и что можно, а чего нельзя сделать из безметалловой керамики? Сразу хочется развеять миф о том, что безметалловую керамику нельзя ставить на жевательные зубы. Можно! Опасаться того, что керамика треснет или сломается, не стоит. Безметалловая керамика гораздо прочнее металлокерамики, так как в основе технологии изготовления безметалловой керамики лежит прессовка керамической массы под высоким давлением и температурой. Второй миф: из безметалловой керамики нельзя делать мостовидные протезы, особенно протяженные. Можно! Если есть необходимость сделать мостовидные протезы, то за основу берется каркас из оксида циркония. Оксид циркония – природный материал, для получения каркаса его спекают при температуре 1500 градусов в течение 7 часов. В результате каркас из оксида циркония приобретает прочность, превышающую прочность металла. 

Чаще всего безметалловую керамику применяют для восстановления фронтальных зубов, что обусловлено ее высокими эстетическими свойствами. Безметалловая керамика обладает теми же оптическими свойствами, что и естественные зубы, основные из них – транслюцентность и опалесцентность.

Металлокерамика из-за присутствия внутри металлического каркаса не обладает транслюцентностью естественного зуба, так как металл препятствует прохождению света сквозь искусственный зуб. А безметалловая керамика пропускает свет, как живые зубы, что придает реставрациям особую естественность и живость.

Возможность обойтись без металлического каркаса диктует новые требования к обработке зубов. Важно, что под безметалловую керамику зубы необходимо препарировать меньше, чем под металлокерамику, зубы обрабатываются выше десны. Это менее травматично, не нарушает круговую связку зуба. Кроме того, обработка выше уровня десны значительно продлевает срок службы протезов, так как исчезает такой фактор, влияющий на необходимость замены протезов, как оголение края коронки вследствие возрастных изменений в тканях, окружающих зуб. И самое важное: чаще всего нет необходимости депульпировать зубы, что продлевает жизнь натуральных зубов. 

Виды протезов из безметалловой керамики

Ламинаты. Еще совсем недавно во всем мире, в том числе в Беларуси, были популярны виниры, фотополимерные реставрации вестибулярной поверхности зуба. Их используют для восстановления, изменения формы или цвета естественного зуба путем нанесения на его поверхность фотополимерного пломбировочного материала. Этот способ быстро распространился благодаря своей дешевизне и быстроте, но, к сожалению, он имеет ряд недостатков. Фотополимерные материалы, как и любые полимеры, со временем стареют, покрываются микротрещинами, изменяют свой первоначальный цвет. Кроме того, фотополимер быстро стирается, гораздо быстрее своих зубов, что ведет к потере первоначальной формы и блеска. В результате все старания по изменению формы и цвета естественных зубов становятся тщетными. Современная стоматология предлагает более качественные материалы для виниров, это керамические ламинаты. Ламинаты изготавливаются из прессованной керамики и фиксируются на адгезивный материал, соединяющий ламинат с естественным зубом в единый монолит.

Керамический ламинат не меняет цвет, не покрывается трещинами, стирается так же, как естественные зубы. Возможность использовать ламинаты разной прозрачности позволяет при необходимости изменить цвет даже сильно потемневшего зуба на более светлый, восстановить утраченную эмаль. Ламинаты – самый щадящий вид несъемных протезов, для их установки достаточно минимальной шлифовки части эмалевого слоя зуба, всего на 0,5 мм. Нет необходимости в депульпировании зуба и обработке ниже десневого края. Благодаря адгезивной фиксации ламинат соединяется с естественным зубом в единый монолит и практически сводит к нулю возможность откола ламината от зуба.

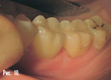
Керамические вкладки (рис. 6–10). Это современная альтернатива фотополимерной пломбе. Фотополимерные пломбы имеют те же недостатки, что и виниры. Так же со временем стареют, покрываются микротрещинами и изменяют свой первоначальный цвет. Фотополимер стирается гораздо быстрее зубов. А для восстановления жевательной поверхности важна прочность и устойчивость к стиранию, этому требованию фотополимерные пломбы не отвечают. Кроме того, пломбы изготавливаются в полости рта пациента, и это не дает тех возможностей, какие есть при работе с моделью. Врач ограничен в пространстве полости рта, не может повернуть зуб во всех направлениях, как модель, и ограничен по времени. 

Мостовидные протезы. Как можно сделать мостовидный протез без металлического каркаса? Для этого существует оксид циркония. Из этого материала и делается каркас, как в металлокерамике, с одной разницей: каркас прозрачный (рис. 11–13). Протяженность такого каркаса может быть любой. При очень больших промежуточных частях можно моделировать мостовидный протез целиком из оксида циркония, лишь раскрасив его. 

Итак, исходя из тенденций развития современной стоматологии, безметалловые технологии одержат верх над металлокерамикой. Поезд прогресса быстро летит вперед. Современные стоматологи с улыбкой вспоминают времена исключительно штампованных коронок, наступает время, когда так же будут относиться и к металлокерамике. 

 

Современная стоматология. – 2008. – 3. – С. 57-59. 

Внимание! Статья адресована врачам-специалистам. Перепечатка данной статьи или её фрагментов в Интернете без гиперссылки на первоисточник рассматривается как нарушение авторских прав.

Содержание » Архив »

Разработка сайта: Softconveyer