Быстрый прогресс в области материаловедения открыл широкие перспективы развития стоматологии. При этом одну из серьезных проблем представляет моделирование придесневой области зуба. Имеется в виду несколько аспектов выполнения конструкций. Во-первых, необходимо оценить и воспроизвести степень выраженности в полости рта признака отклонения корня и тип придесневого контура. Во-вторых, моделирование выпуклости вестибулярной поверхности конструкции начинается именно в придесневой области. Наконец, перед стоматологом стоит задача оптимально отреставрировать участок корня, оголившийся вследствие рецессии десны. Данная проблема может решаться успешно благодаря наличию широкого ассортимента пломбировочных материалов. Особый интерес представляют фотополимеры, в том числе композит, имитирующий десну.
Многообразие клинических проявлений патологического повреждения твердых тканей зуба в ряде случаев вызывает у стоматолога затруднения при создании оптимальной реставрации. В сложившейся ситуации появилась необходимость разработки показаний к выбору средств и методов лечения конкретного зуба.
Дифференцированный подход к определению технологии изготовления реставрации может быть связан с глубиной и площадью дефекта эмали и дентина, особенностями морфологических элементов зуба, индивидуальными и возрастными изменениями твердых тканей, степенью рецессии десны.
Анализ литературы и результатов собственных клинических наблюдений по использованию современных стоматологических материалов и способов их применения позволил определить показания к выбору средств и методов восстановления зубов, имеющих дефекты твердых тканей, при различной степени рецессии десны и стертости режущего края. (Случаи, требующие ортопедического вмешательства, в том числе повышения прикуса, в данной работе не рассматриваются.)
Показания к выбору материалов и методов реставрации
1. Использование фотополимера, имитирующего эмаль и дентин
1.1. Показаниями к использованию эмалевого оттенка композита являются дефекты в придесневой области незначительных размеров без пигментации дентина (рис. 1).
Рис. 1. Дефект в придесневой области незначительных размеров
Препарирование предусматривает некротомию измененной эмали, формирование придесневой стенки полости под прямым или острым углом к ее дну и выполнение скоса в направлении экватора зуба. Затем проводится адгезивная подготовка и пломбирование дефекта эмалевыми оттенками композита.
1.2. Показаниями к применению опаковых и эмалевых оттенков композита являются дефекты в пределах дентина на вестибулярной поверхности зуба без выраженной рецессии десны (рис. 2).
Рис. 2. Дефект в пределах дентина вестибулярной поверхности зуба
Осуществляются препарирование полости с обеспечением принципа адгезии, а также пломбирование дентинными и эмалевыми тонами фотополимера в соответствии с предварительно подобранными оттенками. На дно полости вносится опаковый слой, восполняющий утраченный дентин, который покрывается эмалевыми слоями. Особое внимание следует уделить моделированию структур, локализующихся в придесневой области.
Формирование признака отклонения корня, проявляющегося в полости рта дистальным смещением вершины зубодесневого контура, осуществляется в верхнем топографическом ярусе, преимущественно в дистальном квадранте (рис. 3). Соответствующую порцию материала наносят в верхнесредний участок, близко к границе с десной, а затем смещают несколько дистально. Мезиальную границу этой порции материала аккуратно сглаживают.
Рис. 3. Определяется дистальное смещение вершины придесневого контура зубов
Эмалевыми оттенками материала в соответствии с выбранными ранее эталонами расцветки необходимо сформировать зубодесневой контур и пришеечную выпуклость. В центральный придесневой участок зуба наносят порцию эмалевого композита и разглаживают от центра к периферии, тщательно притирая к границам этой зоны. Придесневая граница перекрывается композитом с некоторым избытком (по толщине), который на последующих этапах сошлифуется.
При моделировании пришеечной выпуклости гладилку располагают под углом 30° по отношению к вестибулярной площадке, создавая плавный переход к покатой пришеечной области (рис. 4).
Рис. 4. Формирование придесневой выпуклости вестибулярной поверхности
1.3. При наличии пигментированного дентина показана цветнейтрализующая техника, предусматривающая применение оттеночных шприцев композита и специальных красителей(Tetric Color «Vivadent», Color plus «Kerr», Masking Agent «3M ESPE»). При этом после препарирования и адгезивной подготовки измененный в цвете дентин маскируется специальными красками, обладающими повышенной опаковостью. Затем наносятся дентинные и эмалевые оттенки фотополимера.
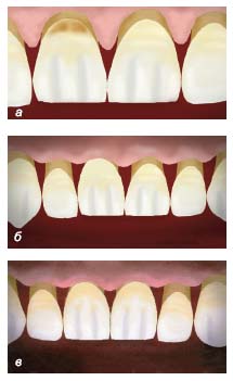
1.4. При сочетании дефекта коронковой части зуба с рецессией десны и стертым режущим краемвозможно искусственное удлинение коронки (увеличение вертикального размера) путем покрытия оголенной части корня фотополимером дентин-эмаль (рис. 5а).
Планирование реставрации предусматривает увеличение высоты клинической коронки, модификацию формы придесневого межзубного треугольника, а также изменение геометрической формы вестибулярной поверхности. С этой целью границу препарирования переносят до уровня десневого края, для чего маленьким шаровидным бором создают в этой области ретенционную бороздку. При зияющих межзубных промежутках обрабатывают проксимальные поверхности реставрируемых зубов от пришеечной области до контактных пунктов.
При пломбировании придесневая область служит ориентиром для моделирования «клинической шейки» реставрации. Дентиновым слоем покрывают оголенную часть корня. Эмалевый слой используют для моделирования формы придесневого купола, выпуклости коронки. Затем композиционный материал накладывают на проксимальные поверхности коронок, сужая тем самым межзубные придесневые треугольники (рис. 5б). В процессе моделирования реставрации врач принимает решение о том, какую анатомическую форму примет зуб: овальную или прямоугольную. С целью визуального омоложения зубов контактные пункты, расположенные на стертых зубах вблизи режущего края, формируются в средней части коронок. Таким образом, в процессе реставрации возможно удлинение клинической коронки зуба, изменение его анатомической формы и размеров межзубных промежутков, перемещение контактных пунктов.
Данная клиническая ситуация, как правило, требует реставрации симметричного зуба с воссозданием аналогичных признаков (рис. 5в).

Рис. 5. Увеличение высоты коронки центрального резца: исходная картина (а); моделирование кариозного (б), интактного (в) зубов
2. Применение композита, имитирующего десну
2.1. При рецессии десны в области одного зуба без дефекта твердых тканей возможно покрытие обнаженной части корня розовым композитом под цвет десны (рис. 6а).
Планирование реставрации предусматривает оценку выраженности признака отклонения корня на симметричном зубе, типа придесневого контура зуба, а также рельефа десневого края, межзубных сосочков. Определившись с параметрами реставрации, зуб очищают бесфтористой пастой, затем обрабатывают поверхность корня пескоструйкой или мелкозернистым алмазным бором, тщательно промывают водой, просушивают. Проводят адгезивную подготовку. Затем на вестибулярную и проксимальные поверхности корня наносят опаковый слой заранее подобранного розового оттенка фотополимера и отверждают его. В том случае, когда корень сильно изменен в цвете, для маскировки его сначала используют белый опак, входящий в комплект материала Comp Natur (VOCO). Из опаковых розовых оттенков моделируются десневые сосочки, маргинальный край десны.
Далее на опаковый слой наносят светопроницаемый оттенок материала, который придает блеск, объем и воссоздает естественный «живой» вид десны.
При моделировании признак отклонения корня и форма придесневого купола коронки зуба также моделируются розовым композитом (рис. 6б).

Рис. 6. Покрытие обнаженной части корня (а) розовым композитом (б)
2.2. В тех случаях, когда рецессия десны сочетается с дефектом в области корня, применяют СИЦ в сочетании с розовым композитом под цвет десны (рис. 7а).
В этой ситуации сначала проводят некротомию тканей, поврежденных кариесом. После препарирования дефекта мелкозернистым бором обрабатывают вестибулярную и частично проксимальные поверхности корня. Полость в корневой части пломбируется стеклоиономерным цементом (рис. 7б). Затем оголенная область корня реставрируется розовыми оттенками фотополимера по вышеуказанной методике (п. 2.1.) (рис. 7в).
Рис. 7. Полость в корневой части зуба (а) пломбируется СИЦ (б). Область корня реставрируется розовыми оттенками (в)
2.3.Множественное оголение корней (розовая десна с закрытием межзубных промежутков).
В этой ситуации возможна имитация десны розовыми оттенками фотополимера (рис. 8). План лечения включает покрытие оголенных корней и при необходимости закрытие межзубных промежутков розовым материалом с моделированием маргинальной части и межзубных сосочков.
Рис. 8. Имитация десны розовыми оттенками фотополимера
3. Сочетанное использование эмалевых/дентинных и розового композитов. Пломбирование с сохранением уровня (контура) анатомической шейки зуба
3.1. Планирование конструкции при рецессии десны в сочетании с дефектом твердых тканей в области коронки и корняпредусматривает выбор оттенков цвета для пломбы и для «десны», оценку анатомических особенностей зуба и морфологии десневого края, межзубных сосочков.
После механического очищения зуба (коронки и оголенной части корня) производится препарирование стенок дефекта с вовлечением коронковой и корневой части. При этом два дефекта могут соединяться или подготавливаются отдельно (рис. 9а).
Пломбирование дефекта или его части, локализующейся в области корня, осуществляется стеклоиономерным цементом, оттенок которого подбирается к цвету дентина. Пломба не должна выступать за границы полости по высоте или другим направлениям. В коронковой части зуба полость заполняется фотополимерным материалом с соблюдением правил послойного наложения и моделирования элементов морфологии (рис. 9б). Четко контурируется придесневой рисунок зуба.
Затем осуществляется реставрация участка десны, покрывающей оголенный корень. Использование композита розового цвета позволяет имитировать десневой край (рис. 9в).
Рис. 9. Кариозный дефект (а) пломбируется фотополимером (б). Десна моделируется композитом розового цвета (в)
Основной объем воспроизводится опаковыми цветами (розовым). Блестящий слой воспроизводит эпителиальную выстилку десны. По возможности повторяются элементы анатомического строения слизистой оболочки данной области: выпуклости, впадины, площадки.
Возможен вариант, когда вначале производится моделирование десны розовым композитом, а затем реставрируется коронковая часть зуба фотополимером под цвет дентина и эмали.
3.2. Рецессия десны группы зубов незначительной степени без стертости режущего края с дефектом коронки (рис. 10а). Реставрация зуба с сохранением уровня и контура анатомической шейки зуба.
Осуществляется препарирование дефектов эмали и дентина и пломбирование полости в соответствии с цветовыми и морфологическими особенностями зуба. Реконструкция десневого края фронтального отдела челюсти выполняется поэтапно. Вначале розовым опаком необходимого оттенка моделируется пришеечный отдел оголенных корней, затем заполняются межзубные промежутки. Обязательно воссоздаются контуры маргинальной десны, подчеркивающие признаки отклонения корней фронтальных зубов, тип десневого купола, у каждого зуба. При наложении последующих слоев опака и блестящего слоя моделируется рельеф десны: валик по периферии, выпуклости и впадины на межзубном сосочке (рис. 10б).
Рис. 10. Рецессия десны группы зубов (а) маскируется розовым фотополимером (б)
3.3. Рецессия десны, зубы стерты, повышать прикус не показано (рис. 11а).
Имеются показания к удлинению коронок зубов, которое может осуществляться за счет придесневой области оголенного корня. Моделирование реставрации предусматривает покрытие части корня, прилежащей к коронке, эмалевым и дентинным композитом, а придесневой области корня — розовым полимером. Таким образом создается новая позиция шейки зуба.
Важнейшую роль играет планирование формы зуба. Производится тщательная одонтометрия. Измеряется расстояние от десневого края до окклюзионной поверхности и определяется линия, по которой будет проходить граница между отреставрированной коронкой зуба и искусственной десной. Планируемая высота коронки должна гармонировать с шириной зуба, т.е. иметь соотношение, классическое для выбранной (или имеющейся) формы зубов пациента. Форма вестибулярной поверхности конструкции, как правило, переводится в треугольную, если межзубные промежутки заполнены десневыми сосочками (рис. 11а). Придесневой контур создается в виде купола (рис. 11б).
Рис. 11. Оголенные корни резцов (а) покрываются частично традиционным, частично розовым композитом (б): 1 — анатомическая шейка, 2 — клиническая шейка, 3 — планируемая шейка
В тех случаях, когда зияют межзубные промежутки вследствие атрофии сосочков, форма реставрации приближается к прямоугольной (овальной), придесневая область формируется овальной или уплощенной (рис. 12).
Рис. 12. Зияющие межзубные промежутки зубов (а) заполняются композиционным материалом под цвет десны (б): 1 — анатомическая шейка, 2 — клиническая шейка, 3 — планируемая шейка
После тщательного очищения поверхности корня проводится препарирование, которое включает удаление оголенного цемента, истончение дентина корня на толщину будущей реставрации. Маленьким шаровидным бором формируется борозда, очерчивающая границу моделируемой шейки зуба. Она идет между краем десны и анатомической шейкой зуба, повторяя форму последней. На эмали выполняется скос в сторону экватора, площадь которого соответствует расстоянию от анатомической до формируемой шейки зуба. При наличии дефекта эмали (дентина) он включается в область препарирования. Если полость располагается близко к пульпе, используется лечебная (изолирующая) прокладка, осуществляется цветокоррекция пигментированных участков. Дентинными оттенками заполняется утраченный объем дентина с одновременным формированием опаковыми слоями признака отклонения корня и воссозданием новой геометрической формы зуба. Эмалевыми тонами моделируются индивидуальные особенности зуба (форма придесневого купола, угол выпуклости). При этом «шейка» зуба располагается в области отпрепарированной борозды.
Часть оголенного корня, прилежащую к десневому краю, покрывают розовым фотополимером, соблюдая послойное нанесение. Моделируют межзубные сосочки, маргинальную часть, заполняя промежутки между зубами. Искусственную десну прокрывают прозрачным блестящим слоем.
3.4. Моделирование розовой десны. Отсутствие зуба сочетается с атрофией альвеолярного края (рис. 13).
Рис. 13. Отсутствие зуба сочетается с атрофией альвеолярного края (а). Отмеренный отрезок ленты адаптирован к зубам (б). Воссоздание отсутствующего зуба (в). Моделирование естественного десневого края розовым фотополимером (г)
Планирование последовательности этапов изготовления конструкции включает изготовление адгезивного протеза, восстанавливающего утраченный зуб, а также имитацию десневого края розовыми оттенками фотополимера.
Выбору оттенков цвета предшествует механическое очищение вестибулярной поверхности зуба, симметричного реставрируемому, и рядом стоящих зубов с использованием щеточки и бесфтористой пасты (например, Klint, VOCO). Тщательно очищают все поверхности зубов, включаемых в конструкцию. Препарируют зубы, которые будут служить опорой адгезивного протеза. С этой целью необходимо сформировать углубления на проксимальных поверхностях зубов, замыкающих дефект и направленных в сторону отсутствующего зуба. По высоте отпрепарированные площадки соответствуют ширине армирующей ленты; по глубине углубляются в дентин на 1—2 мм (слегка); по длине занимают практически всю ширину коронки. Острые углы и выступающие края сглаживаются мелкозернистым бором.
Далее приступают к определению точной длины отрезка ленты, необходимого для формирования конструкции в области отсутствующего зуба. Отмеренный отрезок ленты увлажняют адгезив-бондом, удаляют избытки и адаптируют в подготовленные площадки зубов. Затем полимеризуют композит галогеновым светом.
Последующая работа (воссоздание отсутствующего зуба) начинается с послойного наложения композиционного материала. Наиболее глубоко (ближе к пришеечной области) располагают темный опаковый слой. Следующий опаковый более светлый слой занимает большую площадь и восполняет объем дентина в зубе. Эмалевые цвета завершают реставрацию с сохранением оптимальных размеров и формы конкретного зуба.
Для воссоздания естественного десневого края используется розовый фотополимерный материал (Comp Natur, VOCO). Из опаковых оттенков моделируются десневые сосочки, маргинальный и альвеолярный край десны.
На опаковый слой наносят десневой светопроницаемый эмалевый материал слоями не толще 2 мм и отверждают галогеновой лампой в течение 40 секунд. При моделировании контуров десны учитывают расположение десневого края на симметричных зубах, признак отклонения корня. При этом контур десневого края может быть уплощенным, округлым или куполообразным.
Дифференцированный подход к определению технологии восстановления придесневой области зуба позволяет изготавливать эстетические реставрации, максимально имитирующиеестественные ткани зубов и десны конкретного пациента.
Современная стоматология. – 2006. – №4. – С. 18-23.
Внимание! Статья адресована врачам-специалистам. Перепечатка данной статьи или её фрагментов в Интернете без гиперссылки на первоисточник рассматривается как нарушение авторских прав.